膀胱がん

  1. HOME
  2. 疾患検索
  3. 泌尿器科の疾患
  4. 膀胱がん

膀胱がんとは

膀胱は下腹部に位置しており、尿をためたり出したりする機能をもつ臓器です。膀胱の内側にある尿路上皮粘膜から発生した悪性腫瘍のことを膀胱がんといいます。発生頻度は人口10万人あたり男性12.8人、女性2.8人と男性に多くみられます。また、膀胱がんと診断される方の80%が60歳以上であり比較的高齢者に多くみとめられます。発見される契機は目で見て尿に血が混ざっていることがわかる「肉眼的血尿」がほとんどで、肉眼的血尿をみとめた方の約20%に膀胱がんが発見されるとも言われております。
膀胱がんの原因は現段階ではっきりと解明されておりませんが「喫煙」は重要な危険因子です。膀胱がんの治療方法は早期がんの場合は内視鏡での切除が可能ですが、進行してくると内視鏡だけでは完全にがんを取り除くことができないため、開腹手術や抗がん剤治療などが必要となります。また、早期がんであっても治療後に再発をきたしやすいので定期的に経過観察することが重要です。

膀胱がんの症状

初発症状のほとんどが目で見える「肉眼的血尿」で、はじめは痛みなどの症状がなく血尿だけ出るのが特徴です。細菌感染を合併したり、進行がんになると頻尿や排尿時の痛みなどを伴うことがあります。

膀胱がんの診断

尿検査

血尿や感染症の有無を調べます。

尿細胞診

尿の中の細胞を顕微鏡で観察して尿中に“がん細胞”があるかどうかを調べます。結果は5段階評価で行い、1~2の場合は陰性(がん細胞なし)、3は偽陽性(良悪性の判定困難)、4~5の場合は陽性(がん細胞が存在する可能性が高い)となります。
尿細胞診によってすべての膀胱がんが診断できるわけではありませんが、悪性度の高いがん(顔つきの悪いがん)の診断には有用です。

腹部超音波検査

X線を使わず痛みを伴うこともないので健康診断や人間ドックなどの初期検査でよく行われます。一般的には膀胱内に突出するような腫瘍を確認することができます。

膀胱がんの腹部超音波検査画像
CTスキャン

CTスキャンはX線を使って身体の断面を撮影する検査です。
膀胱がんのみならず、腎盂・尿管がんの合併についても調べることができます。また、膀胱以外の臓器(リンパ節、肺、肝臓など)への転移の有無も確認することができます。
診断精度に優れた検査ですが、造影剤にアレルギーのある方や腎機能障害のある方には行うことができません。

MRI

MRIはX線を使用せずに強い磁石と電磁波を使って身体の断面を描写します。
膀胱がんの「深達度(がんの深さ)」を評価するうえで非常に有用な検査です。
X線の被曝がなく造影剤のアレルギーのある人に対しても有効ですが、磁力を用いた検査であるため心臓ペースメーカーなど体内に金属が入っている方には行うことができません。

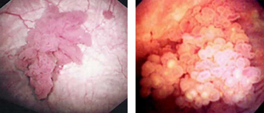
膀胱鏡(内視鏡検査)

膀胱腫瘍の存在を直接確認することができるため、膀胱がんを診断するうえで最も重要な検査です。

膀胱鏡(内視鏡検査)映像

膀胱がんの病期(ステージ)

膀胱の壁は内側から粘膜、粘膜下層、筋層、漿膜という4つの層からなっています(下図参照)。膀胱がんの大部分は膀胱の内面をおおっている尿路上皮粘膜から発生する「尿路上皮がん」です。できたばかりの早期がんは粘膜内にとどまっていますが、進行するとともに粘膜下層、筋層、外膜、膀胱外(周囲組織、前立腺、子宮など)へと深い層に浸潤していきます。さらに進行するとリンパ節、肺、肝など膀胱以外の臓器へ遠隔転移をきたします。

膀胱壁とその断面
   
《膀胱がんのタイプ》
膀胱がんのタイプ

がんの進行の程度を病期(ステージ)といいます。

膀胱壁内へのがんの深達度(T分類)、リンパ節転移の有無(N分類)、遠隔転移の有無(M分類)をもとに病期分類を行ないます。

T分類 膀胱壁内へのがんの深達度

  • Ta:乳頭状非浸潤がん
  • Tis:上皮内がん(CIS)
  • T1:粘膜上皮下結合織に浸潤するがん
  • T2:筋層に浸潤するがん
  • T2a:浅筋層に浸潤するがん
  • T2b:深筋層に浸潤するがん
  • T3:膀胱周囲組織に浸潤するがん
  • T3a:顕微鏡的
  • T3b:肉眼的(膀胱外の腫瘤)
  • T4:次のいずれかに浸潤する腫瘍:前立腺間質、精嚢、子宮、膣、骨盤壁、腹壁
  • T4a:前立腺、精嚢、子宮あるいは腟への浸潤
  • T4b:骨盤壁あるいは腹壁への浸潤
  • がんが粘膜から粘膜下層にとどまっているTaからT1までを「表在性がん」、がんが筋層におよんでいるT2以上を「浸潤性がん」といいます。

N分類 リンパ節転移の有無とその程度

  • N0:所属リンパ節転移なし
  • N1:小骨盤腔内の1個のリンパ節への転移
  • N2:小骨盤腔内の多発リンパ節転移
  • N3:総腸骨動脈リンパ節転移

M分類 遠隔転移の有無

  • M0:転移なし
  • M1:転移あり

N1以上およびM1は、「転移がん」と言います。

膀胱がんの治療

膀胱がんの治療は「深達度(がんの深さ)」と「悪性度(がんの顔つき)」をもとにして治療方法が選択されます。
「表在性がん」の場合は内視鏡的な手術(経尿道的膀胱腫瘍切除術:TUR-Bt)で腫瘍を完全に切除することで完治を目指せます。しかし、表在性がんの約50%は2年以内に再発するといわれ、再発しやすいことが特徴です。そのため再発を予防する目的で術後膀胱内に抗がん剤やBCGを注入することもあります。
「浸潤性がん」の場合は内視鏡手術だけでは完全にがんを取りきることができないため、開腹手術や抗がん剤治療などが必要となります。
当クリニックはロボット手術において日本トップクラスである「東京国際大堀病院」と提携しております。東京国際大堀病院では浸潤性膀胱がんに対して「腹腔鏡下膀胱全摘除術」を行うことが可能です。腹腔鏡手術の最大のメリットは開腹手術と比較して傷が小さく、出血量が少なくす むため患者さまへの負担が少ないことです。
治療方法の詳細についてお聞きしたいことがあれば遠慮なくご相談ください。

膀胱がんは早期発見・早期治療を行うことができれば完治が目指せる病気です。ほかの腎、尿路のがんと同様に初発症状は血尿です。おしっこをしていて「尿の色がおかしいな」と思ったらお気軽にご相談ください。

膀胱がんに対する5-アミノレブリン酸 (5-ALA)を用いた光線力学診断

5-アミノレブリン酸(5-aminolevulinic acid:5-ALA)を服用することでがん細胞を蛍光発光させることができます。これまでの内視鏡では確認することが難しかった小さながんや平坦ながん(上皮内がん:CIS)の診断精度が向上するとともに、取り残しのない確実ながん切除が可能となりました。

Share

泌尿器科の主な疾患と治療法・検査